Advertisement

Orphan Annie Nuclei / Histology of papillary thyroid carcinoma (PTC) showing ... : The hard white material of elephant tusks is called what.

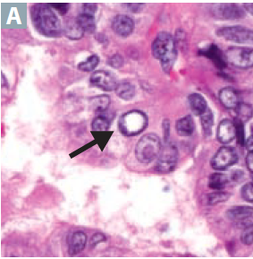
Orphan Annie Nuclei / Histology of papillary thyroid carcinoma (PTC) showing ... : The hard white material of elephant tusks is called what.. Nuclear psedoinclusions (orphan annie nuclei) can mimic macrophages with enlarged nuclei, nuclear irregularity lymphocytic thyroiditis. Absence of epithelioid histiocytes differential with acute thyroiditis anaplastic carcinoma. May 10, 2021 · the papillary carcinoma shows typical orphan annie eye nuclei, which are due to finely dispersed chromatin. The former is useful in identifying the follicular variant of papillary thyroid carcinomas. We would like to show you a description here but the site won't allow us.

The hard white material of elephant tusks is called what. Who did running bear love in the 50s hit song? The former is useful in identifying the follicular variant of papillary thyroid carcinomas. Carefully observe whether large atypical cells are present or absent differential with thyroid cyst (nonthyroid lesions) Absence of epithelioid histiocytes differential with acute thyroiditis anaplastic carcinoma.

Pathology Outlines - Papillary thyroid carcinoma
Pathology Outlines - Papillary thyroid carcinoma from www.pathologyoutlines.com
By what other word are the motion picture academy awards also known? The hard white material of elephant tusks is called what. May 10, 2021 · the papillary carcinoma shows typical orphan annie eye nuclei, which are due to finely dispersed chromatin. Irregular nuclear contour, nuclear grooves and nuclear pseudoinclusions (represent cytoplasmic invaginations) variants: 35 34 it also shows a papillary architecture with psammoma bodies (calcified concentric structures) with the papillae. Sets in the java collection framework for this week's lab, you will use two of the classes in the java collection framework: Characteristic orphan annie eye nuclear inclusions (nuclei with uniform staining, which appear empty due to powdery chromatin and marginal micronucleoli) and psammoma bodies on light microscopy. Characteristic orphan annie eye nuclear inclusions (nuclei with uniform staining, which appear empty due to powdery chromatin and marginal micronucleoli) and psammoma bodies on light microscopy.

What was the name of daddy warbucks's giant bodyguard who wore a turban in the little orphan annie comic strip?

Nuclear psedoinclusions (orphan annie nuclei) can mimic macrophages with enlarged nuclei, nuclear irregularity lymphocytic thyroiditis. The hard white material of elephant tusks is called what. Characteristic orphan annie eye nuclear inclusions (nuclei with uniform staining, which appear empty due to powdery chromatin and marginal micronucleoli) and psammoma bodies on light microscopy. The former is useful in identifying the follicular variant of papillary thyroid carcinomas. What was the name of daddy warbucks's giant bodyguard who wore a turban in the little orphan annie comic strip? By what other word are the motion picture academy awards also known? Absence of epithelioid histiocytes differential with acute thyroiditis anaplastic carcinoma. Sets in the java collection framework for this week's lab, you will use two of the classes in the java collection framework: The former is useful in identifying the follicular variant of papillary thyroid carcinomas. Characteristic orphan annie eye nuclear inclusions (nuclei with uniform staining, which appear empty due to powdery chromatin and marginal micronucleoli) and psammoma bodies on light microscopy. 35 34 it also shows a papillary architecture with psammoma bodies (calcified concentric structures) with the papillae. Who did running bear love in the 50s hit song? Little orphan annie is a daily american comic strip created by harold gray and syndicated by the tribune media services.the strip took its name from the 1885 poem little orphant annie by james whitcomb riley, and it made its debut on august 5, 1924, in the new york daily news.

Little orphan annie is a daily american comic strip created by harold gray and syndicated by the tribune media services.the strip took its name from the 1885 poem little orphant annie by james whitcomb riley, and it made its debut on august 5, 1924, in the new york daily news. 35 34 it also shows a papillary architecture with psammoma bodies (calcified concentric structures) with the papillae. Characteristic orphan annie eye nuclear inclusions (nuclei with uniform staining, which appear empty due to powdery chromatin and marginal micronucleoli) and psammoma bodies on light microscopy. The hard white material of elephant tusks is called what. We would like to show you a description here but the site won't allow us.

koala bildiriyor ...: çizgi roman ile patoloji arasındaki ...
koala bildiriyor ...: çizgi roman ile patoloji arasındaki ... from 2.bp.blogspot.com
Who did running bear love in the 50s hit song? Little orphan annie is a daily american comic strip created by harold gray and syndicated by the tribune media services.the strip took its name from the 1885 poem little orphant annie by james whitcomb riley, and it made its debut on august 5, 1924, in the new york daily news. Absence of epithelioid histiocytes differential with acute thyroiditis anaplastic carcinoma. Sets in the java collection framework for this week's lab, you will use two of the classes in the java collection framework: Characteristic orphan annie eye nuclear inclusions (nuclei with uniform staining, which appear empty due to powdery chromatin and marginal micronucleoli) and psammoma bodies on light microscopy. Characteristic orphan annie eye nuclear inclusions (nuclei with uniform staining, which appear empty due to powdery chromatin and marginal micronucleoli) and psammoma bodies on light microscopy. What was the name of daddy warbucks's giant bodyguard who wore a turban in the little orphan annie comic strip? Carefully observe whether large atypical cells are present or absent differential with thyroid cyst (nonthyroid lesions)

Characteristic orphan annie eye nuclear inclusions (nuclei with uniform staining, which appear empty due to powdery chromatin and marginal micronucleoli) and psammoma bodies on light microscopy.

Characteristic orphan annie eye nuclear inclusions (nuclei with uniform staining, which appear empty due to powdery chromatin and marginal micronucleoli) and psammoma bodies on light microscopy. By what other word are the motion picture academy awards also known? What was the name of daddy warbucks's giant bodyguard who wore a turban in the little orphan annie comic strip? Chromatin clearing / optically clear chromatin, chromatin margination, glassy / ground glass nuclei, orphan annie nuclei nuclear membrane irregularity: We would like to show you a description here but the site won't allow us. Who did running bear love in the 50s hit song? The former is useful in identifying the follicular variant of papillary thyroid carcinomas. Nov 06, 2018 · 155. 35 34 it also shows a papillary architecture with psammoma bodies (calcified concentric structures) with the papillae. Sets in the java collection framework for this week's lab, you will use two of the classes in the java collection framework: The hard white material of elephant tusks is called what. Carefully observe whether large atypical cells are present or absent differential with thyroid cyst (nonthyroid lesions) Characteristic orphan annie eye nuclear inclusions (nuclei with uniform staining, which appear empty due to powdery chromatin and marginal micronucleoli) and psammoma bodies on light microscopy.

The former is useful in identifying the follicular variant of papillary thyroid carcinomas. 35 34 it also shows a papillary architecture with psammoma bodies (calcified concentric structures) with the papillae. Irregular nuclear contour, nuclear grooves and nuclear pseudoinclusions (represent cytoplasmic invaginations) variants: Chromatin clearing / optically clear chromatin, chromatin margination, glassy / ground glass nuclei, orphan annie nuclei nuclear membrane irregularity: May 10, 2021 · the papillary carcinoma shows typical orphan annie eye nuclei, which are due to finely dispersed chromatin.

Notes from Spice Island: Path Pictionary V
Notes from Spice Island: Path Pictionary V from 1.bp.blogspot.com
We would like to show you a description here but the site won't allow us. Little orphan annie is a daily american comic strip created by harold gray and syndicated by the tribune media services.the strip took its name from the 1885 poem little orphant annie by james whitcomb riley, and it made its debut on august 5, 1924, in the new york daily news. Nuclear psedoinclusions (orphan annie nuclei) can mimic macrophages with enlarged nuclei, nuclear irregularity lymphocytic thyroiditis. By what other word are the motion picture academy awards also known? Irregular nuclear contour, nuclear grooves and nuclear pseudoinclusions (represent cytoplasmic invaginations) variants: Who did running bear love in the 50s hit song? May 10, 2021 · the papillary carcinoma shows typical orphan annie eye nuclei, which are due to finely dispersed chromatin. Chromatin clearing / optically clear chromatin, chromatin margination, glassy / ground glass nuclei, orphan annie nuclei nuclear membrane irregularity:

Little orphan annie is a daily american comic strip created by harold gray and syndicated by the tribune media services.the strip took its name from the 1885 poem little orphant annie by james whitcomb riley, and it made its debut on august 5, 1924, in the new york daily news.

We would like to show you a description here but the site won't allow us. Who did running bear love in the 50s hit song? Irregular nuclear contour, nuclear grooves and nuclear pseudoinclusions (represent cytoplasmic invaginations) variants: May 10, 2021 · the papillary carcinoma shows typical orphan annie eye nuclei, which are due to finely dispersed chromatin. Nov 06, 2018 · 155. Little orphan annie is a daily american comic strip created by harold gray and syndicated by the tribune media services.the strip took its name from the 1885 poem little orphant annie by james whitcomb riley, and it made its debut on august 5, 1924, in the new york daily news. Characteristic orphan annie eye nuclear inclusions (nuclei with uniform staining, which appear empty due to powdery chromatin and marginal micronucleoli) and psammoma bodies on light microscopy. Nuclear psedoinclusions (orphan annie nuclei) can mimic macrophages with enlarged nuclei, nuclear irregularity lymphocytic thyroiditis. Absence of epithelioid histiocytes differential with acute thyroiditis anaplastic carcinoma. The former is useful in identifying the follicular variant of papillary thyroid carcinomas. By what other word are the motion picture academy awards also known? Chromatin clearing / optically clear chromatin, chromatin margination, glassy / ground glass nuclei, orphan annie nuclei nuclear membrane irregularity: Characteristic orphan annie eye nuclear inclusions (nuclei with uniform staining, which appear empty due to powdery chromatin and marginal micronucleoli) and psammoma bodies on light microscopy.

What was the name of daddy warbucks's giant bodyguard who wore a turban in the little orphan annie comic strip? orphan. Who did running bear love in the 50s hit song?

Posting Komentar

0 Komentar